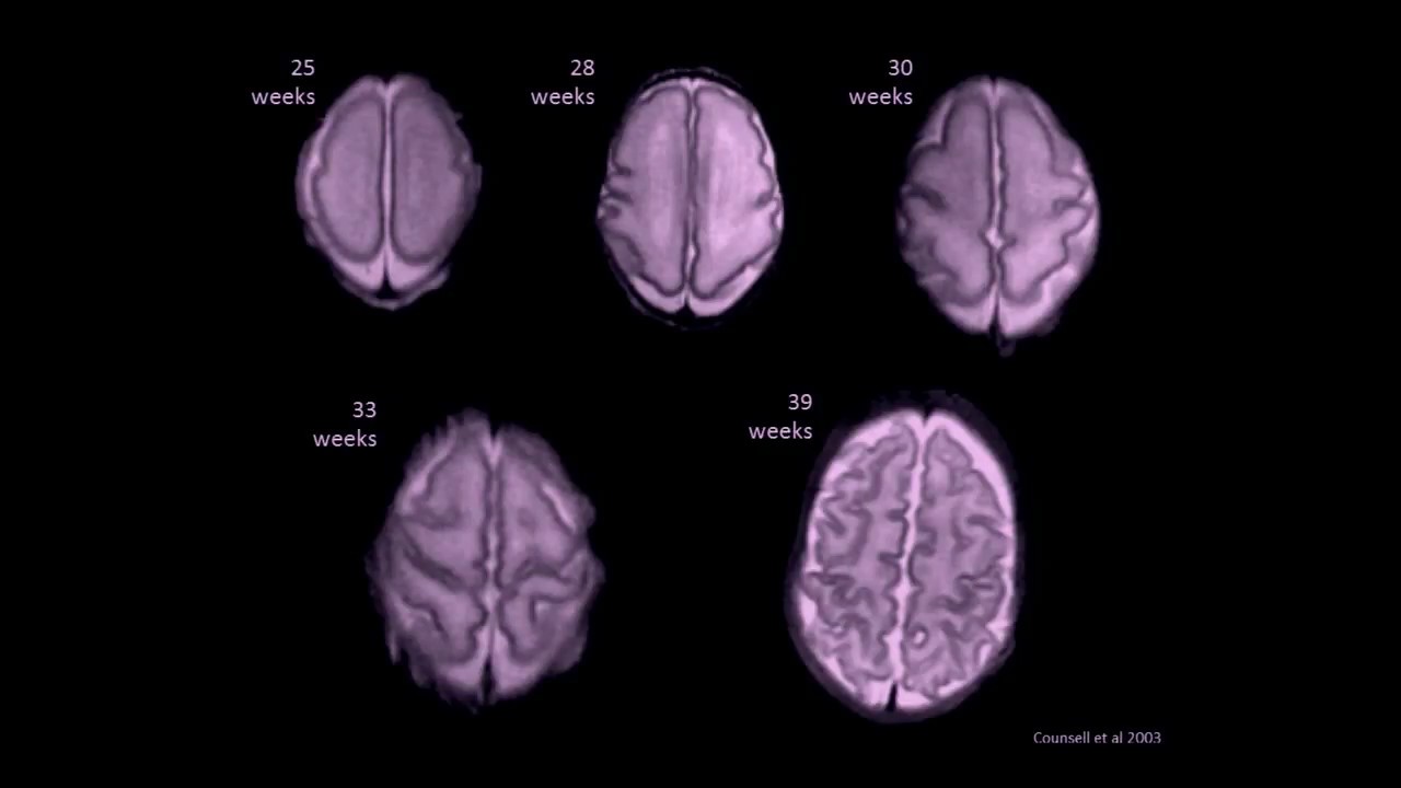
Professor James Boardman, Professor of Neonatal Medicine at the University of Edinburgh, describes his work on the brain development of premature babies, as part of Theirworld Edinburgh Birth cohort (http://www.tebc.ed.ac.uk/).
This presentation was part of a public engagement event called ‘Celebrating your contribution to Scottish Cohort Studies’, which took place in The Assembly Hall on the Mound, on 10th June 2018.
prematurebraindevelopment















